¿Es posible solucionar un apiñamiento y un trastorno de la articulación temperomandibular utilizando únicamente ortodoncia invisible y sin necesidad de realizar extracciones? En Clínica Peydro la respuesta es sí.
Hoy os traemos el caso de una paciente que acudía a nuestra consulta con muchas ganas de mejorar la estética de su sonrisa. Aunque en un principio no le agradaba del todo su sonrisa, con el paso del tiempo la paciente iba notando que cada vez sus dientes se iban a apiñando más hasta tal punto que le comenzó a preocupar bastante el efecto visual que tenía en la estética de su sonrisa.
A pesar de que tenía muchas ganas de mejorar su sonrisa, la paciente se negaba a usar brackets, por la incomodidad que le suponía, por lo que finalmente optó por utilizar ortodoncia invisible de principio a fin.

Estudio previo a la ortodoncia invisible
Antes de realizar la planificación del tratamiento, hemos elaborado un estudio exhaustivo del caso. En él, hemos podido ver que la paciente presentaba diversos problemas:
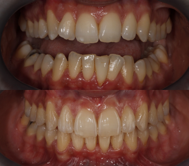
- Maloclusión dental
- Mucho apiñamiento en ambas arcadas (tanto en la superior como en la inferior)
- Arcada superior triangular
Generalmente, arcada que diseñamos siempre suele ser amplia y parabólica, por lo que decidimos empezar su plan de tratamiento por ahí. Debido a la posición triangular que presentaba en la arcada, poco a poco se había ido produciendo una rotación severa e importante a nivel de los incisivos superiores, tanto en los centrales como en los laterales. Debido a esa forma de arcada tan estrecha, los dientes se habían bloqueado hacia dentro, y como consecuencia se había producido un severo apiñamiento en la arcada inferior.

Además, en las articulaciones temperomandibulares también hemos podido observar que presentaba ciertos sonidos o tics articulares que nos estaban indicando que las articulaciones estaban sufriendo debido a esa maloclusión que presentaba.
Caso resuelto con ortodoncia invisible
Decidimos tratarla con alineadores de ortodoncia invisible sin realizar ninguna extracción dental. Nuestros objetivos a la hora de realizar el tratamiento iban encaminados a crear una buena forma de arcada: amplia, simétricas y balanceadas, para poder así corregir la angulación de los dientes que nos permitiese corregir las severas rotaciones que había presentado.
Al enderezar, también, los sectores posteriores de ambas arcadas nos iba a permitir solucionar el severo apiñamiento que presentaba.
Pautamos visitas cada dos, tres meses, aproximadamente, y al final conseguimos los objetivos planteados de conseguir una arcadas amplias y simétricas y parabólicas, en equilibrio con su cara. Dimos una buena oclusión en clase 1, dimos una buena alineación en ambas arcadas.
Si sufres alguna de estas problemáticas, recuerda que pueden pedir cita para una primera visita gratuita y sin compromiso donde te explicaremos cual es tu caso