Hola a todos. Hoy os presento un caso clínico de un paciente que acudió a nuestra clínica con apiñamiento severo en toda su boca. Tal apiñamiento severo estaba provocando no solo alteraciones a nivel estético sino también alteraciones graves de salud en los dientes y en las encías. Algo que es muy habitual cuando hablamos de apiñamiento severo es que los dientes estén desgastados. Esto es debido principalmente a que los dientes muerden en posiciones que no son naturales. Además de esos dientes desgastados que vemos como consecuencia del apiñamiento suelen existir también lesiones en las encías debido a la sobrecarga de los dientes que transmiten a lo largo de todo su eje así como a lo largo del hueso y encía que rodea el diente.
En el momento en el que nosotros le hicimos la exploración clínica vimos que presentaba graves problemas en la salud de su boca. Tal como se puede apreciar en las fotografías que adjunto, el paciente tenía problemas en las encías debido por un lado a la acumulación de placa bacteriana y por otro lado también a que presentaba una maloclusión muy severa. En las fotografías de inicio que le realizamos a este paciente se puede observar cómo presenta mordidas cruzadas en los incisivos y también en los caninos.

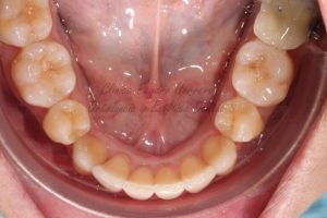
Si te fijas en las fotografías que voy a mostrarte las arcadas de la paciente presentaban una forma muy triangular. Los dientes de la paciente no cabían bien a pesar de que ya se había sometido a un tratamiento de ortodoncia con anterioridad en el que se le habían extraído dos premolares superiores y dos premolares inferiores. A pesar de contar con menos piezas dentales, las arcadas eran todavía muy estrechas hecho que provocaba que los dientes no cupiesen y que por consiguiente estuvieran apiñados.
En primer lugar planificamos un tratamiento de encías con el objetivo de eliminar todo el sarro y devolver a la encía la salud gingival necesaria. Tras esto, realizamos un tratamiento de ortodoncia invisible para solucionar el apiñamiento severo con el que contaba la paciente. Con el tratamiento de ortodoncia:
- Conseguimos enderezar todos los ángulos dentales que estaban inclinados.
- Abrimos las arcadas para lograr una forma final parabólica y redondeada.
- Engranamos perfectamente todos los dientes.
Con el tratamiento de ortodoncia finalizado y el apiñamiento severo corregido, pasamos a la segunda fase de estética dental. En dicha fase realizamos en primer lugar un blanqueamiento dental para devolver a los dientes un aspecto mucho más saludable, estético y brillante. Tras el blanqueamiento realizamos unas microcarillas de composite con las que conseguimos cerrar los pequeños diastemas existentes entre los incisivos superiores.








