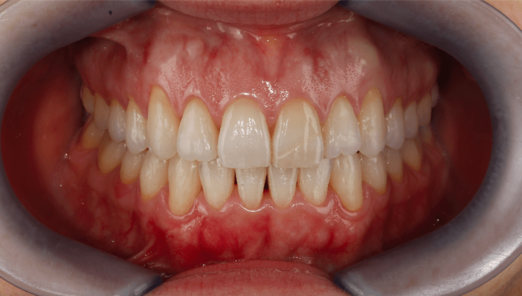
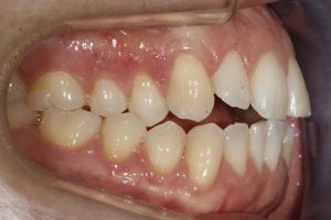
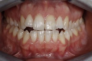
Gingival. Mordida abierta, clase II, y mordida cruzada.
La paciente vino a nuestra clínica con un complejo muy grande por su sonrisa gingival. A pesar de tener una maloclusión muy importante de mordida abierta con clase II, y mordida cruzada; su principal preocupación era un tema estético. Esto es muy común, en las maloclusiones hay siempre causas funcionales que afectan a la salud, sin embargo suele pensarse sólo en el tema estético. Le acomplejaba muchísimo su sonrisa gingival y como ella nos indicó, el verse los dientes hacia fuera. Le habían comentado en otras ocasiones que para poder corregir correctamente ese caso clínico había que hacerle una cirugía importante de los maxilares.


Diagnóstico
El plan de tratamiento que se desarrolló fue el siguiente:


El caso se solucionó en aproximadamente 18 meses de tratamiento y el resultado es sencillamente espectacular. Hemos conseguido superar las expectativas de la paciente y diseñar una sonrisa perfecta al mismo tiempo que hemos conseguido darle una oclusión impecable que le va a dar estética y función para toda la vida.

