¿Cómo arreglar la sonrisa gingival con ortodoncia?
Esta pregunta se la hacen muchas de las personas que acuden a vernos a nuestra consulta solicitando una opinión médica sobre su problema dental. Veréis, la belleza de la sonrisa no se fundamenta únicamente en lucir unos dientes alineados, pues hay muchos factores que influyen en que estéticamente tengamos una sonrisa bonita. Uno de esos factores es, sin lugar a dudas, la cantidad de encía que enseñamos al sonreír.
Cuando una persona enseña mucha encía al sonreír, es cuando hablamos de sonrisa gingival. Debes saber que existen distintos tipos de sonrisa gingival:
- Un paciente presenta sonrisa gingival anterior cuando la encía visible es la situada por encima de los incisivos.
- Hablamos de sonrisa gingival posterior cuando la encía que se muestra es la situada desde el primer premolar hacía detrás.
- La sonrisa gingival mixta se produce cuando mostramos encía en la parte anterior y posterior.
En el momento en el que diseñamos la sonrisa de un paciente es importantísimo conseguir no solo que los dientes estén alineados, sino también que sus dientes guarden una relación correcta con la cara, los labios y la propia encía del paciente.
¿Cómo arreglar la sonrisa gingival con ortodoncia, sin necesidad de recurrir a cirugía?
Cuando un paciente presenta sonrisa gingival podemos, únicamente con ortodoncia y sin necesidad de recurrir a cirugía, mejorar mucho el aspecto de su sonrisa. Haciendo un movimiento controlado de los dientes podemos conseguir modificar la posición de los tejidos blandos.
En un caso muy grave de sonrisa gingival deberemos recurrir a un tratamiento combinado de ortodoncia y periodoncia. Lo más importante de todo es hacer un estudio minucioso y pormenorizado de la situación del paciente para escoger la opción que mejor se adapte a él y que vaya a otorgarnos los mejores resultados.
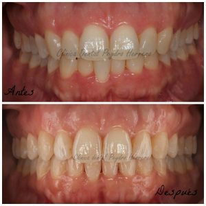
Para ilustrar lo que hoy os estoy contando, os enseñaré un caso real de una paciente que presentaba sonrisa gingival y cuyo caso resolví únicamente con ortodoncia.
La paciente cuyas fotografías encuentras abajo acudió a nosotros buscando una solución estética a su sonrisa. Cuando se miraba al espejo no le gustaba lo que veía, enseñaba demasiada encía al sonreír, cosa que deseaba cambiar.
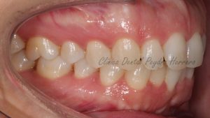
En el momento en el que realizamos la exploración de esta paciente vimos que existía una gran separación entre la comisura labial y sus dientes generando espacios negros muy antiestéticos que afeaban su sonrisa. El término médico para estos espacios negros es el de corredores bucales y están provocados por una sonrisa muy estrecha.
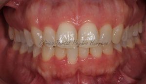
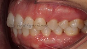
En las fotografías iniciales que le realizamos a la paciente observamos que tenía una maloclusión ligera clase II además de una mordida muy aumentada.
Tras estudiar el caso exhaustivamente decidimos tratar a la paciente con ortodoncia invisible Invisalign. Queríamos cambiar profundamente la forma de la arcada y realizar grandes cambios en la zona anterior. De esta forma modificaríamos la oclusión y además favoreceríamos la adaptación de los tejidos blandos logrando arreglar la sonrisa gingival con ortodoncia.
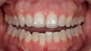
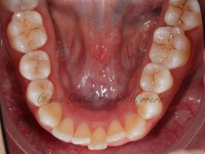
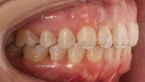
Tras el tratamiento en Clínica Peydro, y tal y como puede observarse en las fotografías de más abajo, logramos una oclusión perfecta y una forma de arcada también perfecta tanto a nivel superior como inferior. Al planificar minuciosamente los ángulos de los dientes que queríamos hemos conseguido disminuir prácticamente en su totalidad la sonrisa gingival que presentaba esta paciente. Ahora luce una sonrisa llena gracias al desarrollo perfecto de una arcada simétrica y armónica respecto a su cara.
Hemos conseguido que la paciente tenga una armonía perfecta entre sus dientes, sus labios y su sonrisa consiguiendo un resultado espectacular. Si quieres saber cómo arreglar la sonrisa gingival con ortodoncia invisible y sin necesidad de realizar extracciones, no dudes en solicitar tu 1ª visita gratuita con nosotros.














