Buenos días a todos. Hoy os traigo el caso clínico de ortodoncia sin extracciones de una chica joven que vino a nosotros buscando una solución definitiva a su problema. Esta chica cuida mucho su aspecto y su salud, es simpática y risueña y desprende mucha energía.
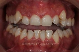
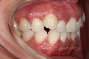
Llevaba muchos años planteándose hacerse un tratamiento de ortodoncia y el freno hasta el momento había sido las soluciones tan complejas que le habían dado. Esta paciente presentaba una maloclusión severa, donde presentaba una Clase II importante con mucho apiñamiento, con problemas de encías, con una grandísima falta de espacio. Por ello le habían propuesto soluciones complejas que pasaban por realizarle desde 4 extracciones dentarias para conseguir espacio así como tratamientos con brackets. Le habían propuesto una serie de tratamientos que no le habían animado a dar el paso para mejorar su salud dental.

Cuando vino a nuestra consulta esta paciente buscaba un tratamiento de ortodoncia sin extracciones. Había visto los resultados que conseguimos en Clínica Peydro y quería pedirnos opinión. Tras el estudio y planificación que hacemos siempre, hablé con ella y le expliqué que gracias a la evolución de la técnica podemos resolver casos extremadamente complicados con ortodoncia invisible Invisalign y por supuesto sin tener que extraer ninguna pieza dental.
Después de nuestra planificación decidimos empezar este tratamiento con Invisalign. Los objetivos que nos planteamos eran:
- Corregir su maloclusión clase II.
- Solucionar el gran apiñamiento que tenía en boca sin tener que quitar ningún diente y consiguiendo que los caninos, que estaban en una posición muy alta, consiguiesen colocarse en las arcadas.
- Hacer un diseño de sonrisa espectacular porque tal y como se ve en las fotografías iniciales presentaba una boca muy estrecha en la que se hacen muy evidentes los grandes corredores bucales que presenta.
El tratamiento de ortodoncia sin extracciones se inicia exclusivamente utilizando alineadores Invisalign y la paciente acude a sus visitas de revisión aproximadamente cada dos meses. Antes de iniciar tratamiento, lo primero que realizamos es una planificación de los pasos a seguir durante la resolución del caso. Después, en cada una de las visitas de control vigilamos que toda la planificación que hemos hecho está llevándose a cabo y todo funciona según lo esperado.
Como en todos los casos que trabajamos se instruyó al paciente a utilizar entre 20 y 22 horas los alinadores Invisalign ya que necesitábamos un máximo control del diente y para ello necesitamos que el alineador esté prácticamente todo el día puesto en boca.
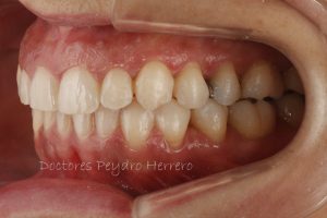
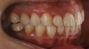
El tratamiento aproximadamente duró dos años durante los cuales conseguimos cumplir todos los objetivos que nos habíamos marcado. Se corrigió la maloclusión de Clase II a una oclusión de Clase I perfectamente engranada y encajada; además conseguimos solucionar perfectamente el apiñamiento que presentaba haciendo que las arcadas dentarias estuviesen perfectamente alineadas y por supuesto conseguimos hacer un diseño de arcadas perfecto, diseñando arcadas parabólicas y amplias. El resultado final de la estética de esta sonrisa fue una sonrisa llena, lo que nosotros llamamos una Full Mouth Smile totalmente en equilibrio y balance con su cara.
Hemos resuelto un caso muy complejo de ortodoncia sin extracciones usando exclusivamente técnicas de alineadores sin necesidad de extracciones dentarias y con un resultado excelente tanto a nivel oclusal como a nivel estético.





