
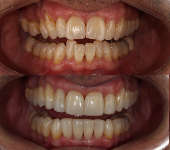
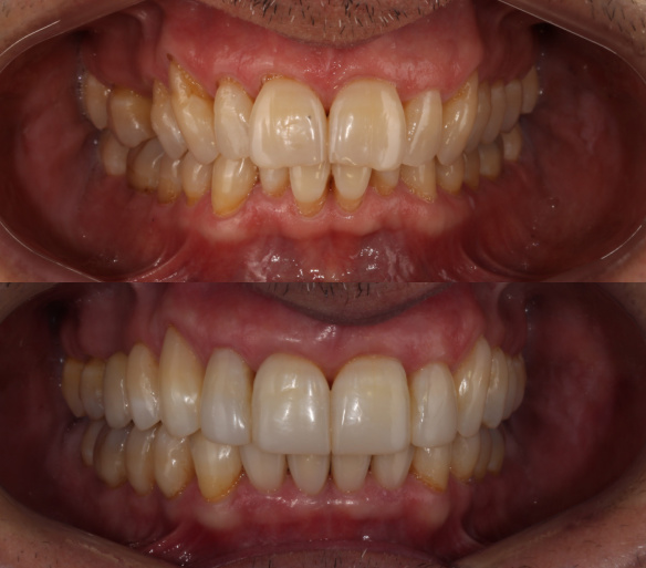
Carillas de composite en paciente con recesiones gingivales
Nuestro paciente, un hombre de 40 años, se presentó con varios problemas dentales que afectaban tanto su estética como su salud bucal.
El diagnóstico inicial reveló dos problemas principales:
Apiñamiento Dental Severo: El apiñamiento de los dientes no solo afectaba la apariencia de su sonrisa, sino que también dificultaba una higiene oral adecuada, lo que aumentaba el riesgo de caries y enfermedades periodontales.
Recesión Gingival: La recesión de las encías expuso las raíces de varios dientes, causando sensibilidad dental y comprometiendo la estética de su sonrisa.
Para abordar el apiñamiento dental, iniciamos el tratamiento con ortodoncia. Este paso era crucial para alinear los dientes antes de proceder con las carillas de composite y asegurar un resultado duradero.
Con los dientes alineados, el siguiente paso del tratamiento fue el blanqueamiento dental. Este procedimiento es importante para asegurar un color uniforme y brillante de los dientes antes de aplicar las carillas de composite.


La fase final del tratamiento se centró en mejorar la estética dental mediante la aplicación de carillas de composite. La Dra. Marta Peydro fue la encargada de esta etapa, utilizando su experiencia para restaurar la forma, el tamaño y la apariencia general de los dientes del paciente.
Las carillas de composite son una excelente solución para restauraciones estéticas, especialmente en casos de recesión gingival. En este caso, se utilizaron carillas de composite para cubrir las áreas de recesión gingival y mejorar la apariencia de los dientes afectados.
Si tienes un caso parecido a este y quieres ponerle solución, pide tu 1ª visita gratuita aquí